Yükleniyor...

“ZONE SonographyTM Teknolojisi (ZST+) ile güçlendirilen, devrim niteliğindeki premium segment Doppler ultrason sistemi!”
Mindray Vetus 9, veteriner hekimlerin tüm taleplerini karşılamak üzere, hastalar için ultrasonografi performansını bir sonraki seviyeye taşıyor. On kat daha hızlı görüntüleme, dinamik piksel odaklama ve orijinal ses sinyali karşılama teknolojisi sunarak veteriner hekimlerin tüm klinik senaryolarla kolaylıkla başa çıkmalarını sağlar.
ZST + platformu, ultrason teknolojisinde bir evrimi temsil eden olağanüstü bir yeniliktir. Ultrason ölçümlerini geleneksel ışın oluşturma yöntemlerinden kanal tabanlı işlemeye dönüştürür.
Bölge Görüntüleme, tüm türlerdeki hayvanların gerçek zamanlı görüntülerini yakalamak için nispeten daha az sayıda, daha büyük sonografik bölgeleri iletebilir ve alabilir.
Geleneksel Kiriş Oluşturma
ZONE Sonografi™ Teknolojisi +
ZST + platformu, dinamik piksel odaklama teknolojisi ile tüm görüş alanı boyunca odaklanmayı gerçekleştirerek, herhangi bir hayvanın yüzeysel derisinden derin organlarına kadar olan görüntülerinin gerçek zamanlı olarak odak durumunda olmasını sağlar.
Geleneksel Odaklanma
ZONE Sonografi™ Teknolojisi +
Hem 2. harmonik hem de doğrusal olmayan temel sinyalleri algılayıp kullanarak önemli ölçüde geliştirilmiş görüntüler üretir, bunun sonucunda daha düşük MI ile minör sinyallerin hassasiyeti artar ve daha uzun ajan süresi elde edilir.
Sound Touch Elastografi (STE), gerçek zamanlı 2 boyutlu kayma dalgası elastografi görüntülemesi sağlar. Doku sertliği değerlendirmesine dayalı kantitatif analiz sağlar.
Maksimum 8 ROI'li TDI QA, miyokardiyal hareket hızı, miyokardiyal gerinim, gerinim oranı ve miyokardiyal senkronizasyon dahil olmak üzere miyokardiyumun 8 bölgesinin eş zamanlı analizini sağlar.
Kantitatif Analizli Doku Takibi (TT QA), 2 boyutlu benek desenlerinin tespiti yoluyla miyokardiyal hareketi izler ve miyokardiyal hareketin açıdan bağımsız ve hassas bir şekilde değerlendirilmesini sağlar.
Hasta bilgi yönetim sistemi
Organlara ait referans görüntüler, eğitim videoları ve kılavuzlar
Standardize edilmiş ve kişiselleştirilmiş muayene akışı
Ses ile kontrol
Potansiyel veya şüpheli klinik durumları ölçümlere dayalı belirtme
Verilerin PC ile kolaylıkla içe ve dışa aktarımı
Profesyonel yorumları içeren özelleştirilmiş rapor şablonları
Kullanıcıya özel, muayene geçişleri sırasında düzeni ve temel işlevleri ayarlanabilen, 6 adet E-Ink dijital tuşlara sahip akıllı kontrol paneli
Lider ZST + platformuna dayanan Vetus 9, zorlu klinik uygulamaların ihtiyaçlarını karşılamak için görüntü performansında yeni bir standardı yeniden tanımlıyor.
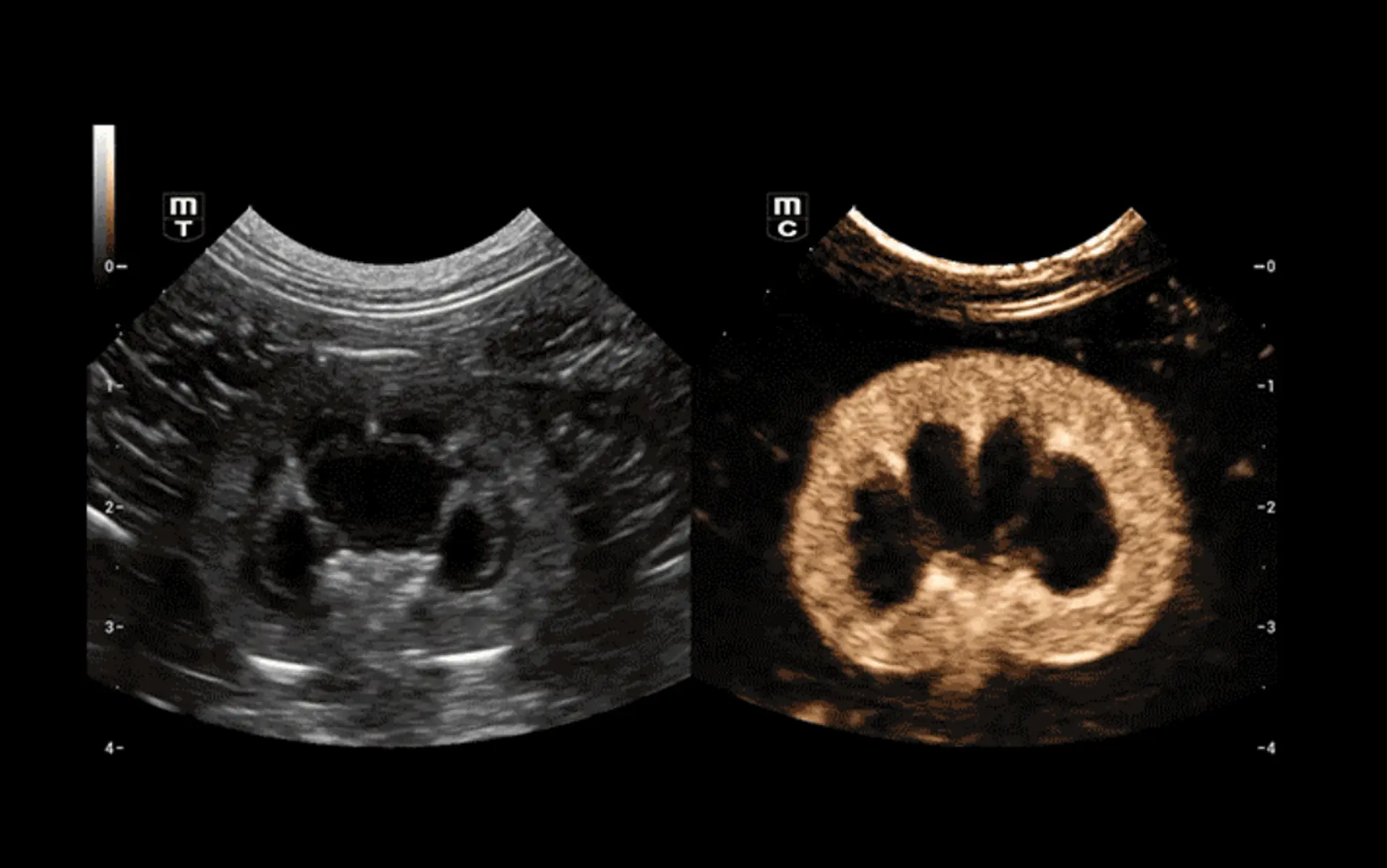
Köpek Böbrek Camlama Akışı
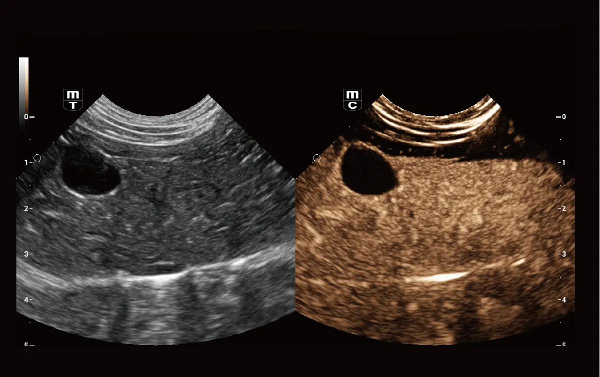
Kedi Safra Kanalı Genişlemesi
Köpek Karaciğeri ve Böbrek Düzlemi
Köpek Dalağı Doğal Dokunuş Elastografisi
Köpek Sol Ventrikül Opasifikasyonu (LVO)
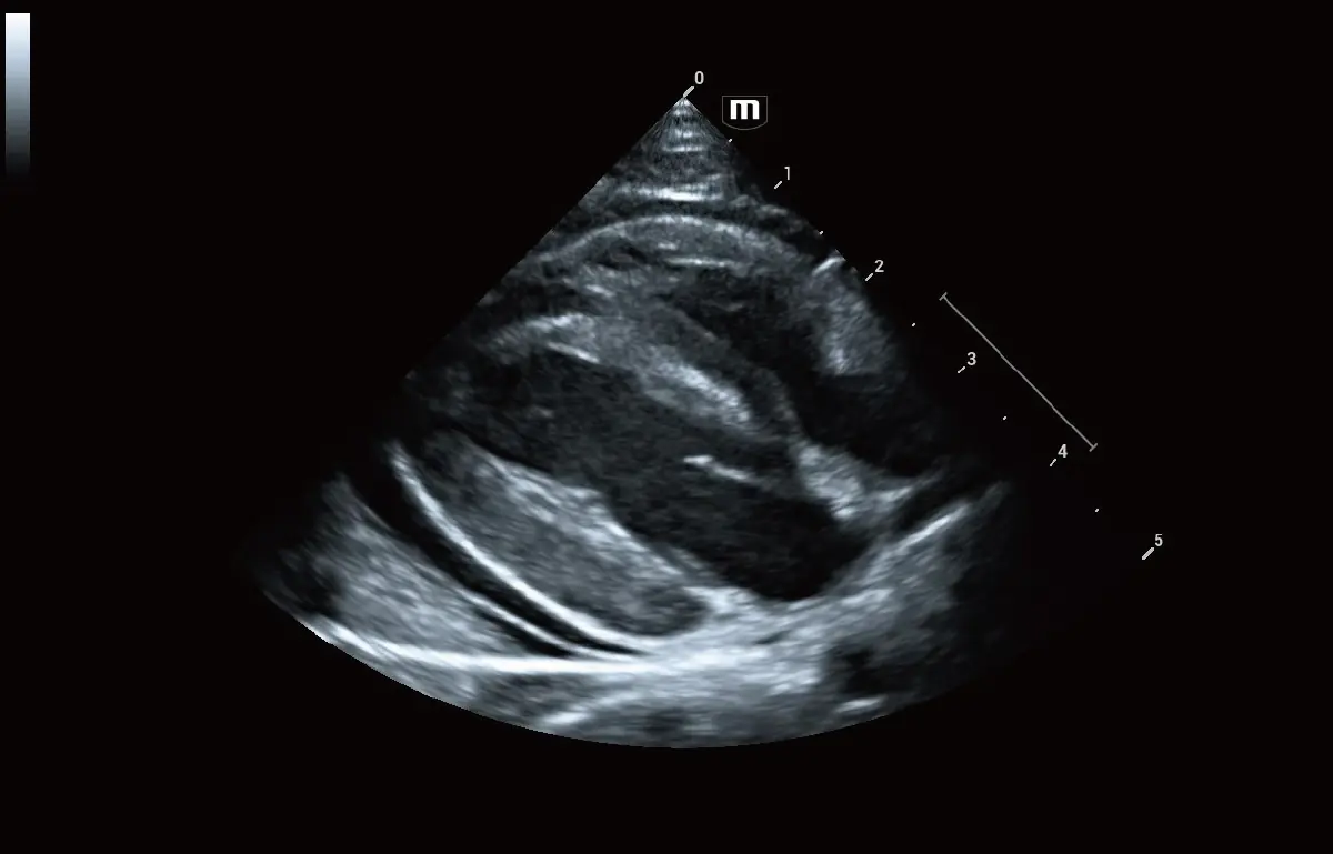
Köpeklerde Miksomatoz Mitral Kapak Hastalığı (MMVD)
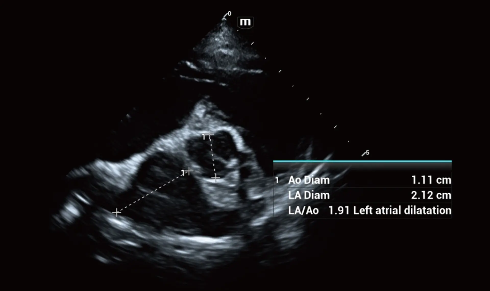
Kedilerde Perikardiyal Efüzyon
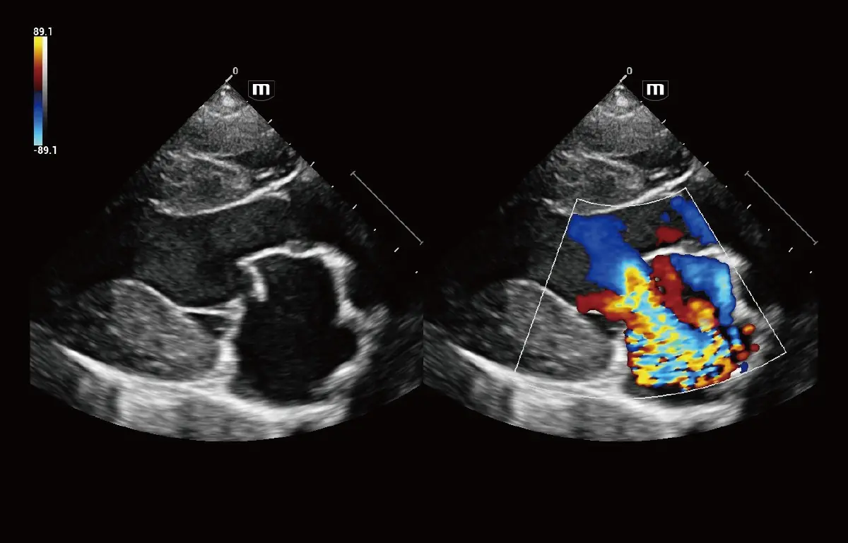
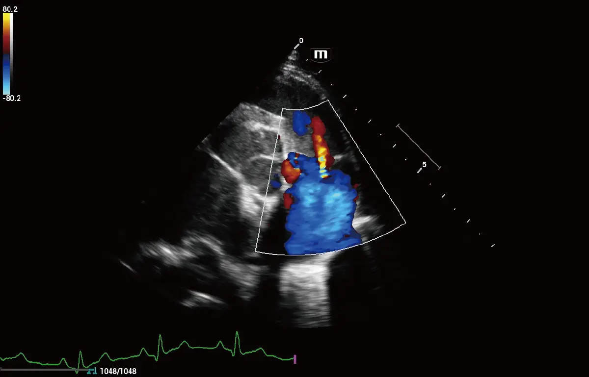
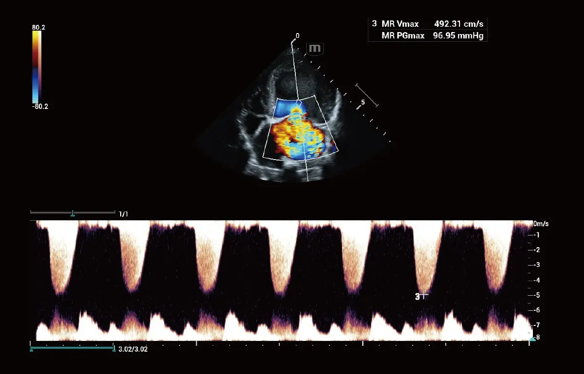
Köpek Mitral Yetmezliği
Köpek Mitral Yetmezliği CW
Köpeklerde Akciğer Regürjitasyonu
Köpek Akciğer Stenozu
Köpek TDI QA