Yükleniyor...

“Sıradanın Ötesinde Görüntüleme”
CT
PANAROMİK
Tam Ark ve Çene için Tek Tarama
DR
Kenar Keskinleştirme; Çoklu Algoritmalar Araçlar: TPLO/VHS/TTA1
FL
Gerçek Zamanlı Dinamik İyileştirme 1 Dakikalık Sürekli Pozlama Hassas Lezyon Tespiti
DSA
Dinamik Subtraksiyon Teknolojisi, vasküler dinamikleri görselleştirerek tanı ve tedaviye destek sağlar.
Ultra-HD mikro tarama, gizli sağlık detaylarını en ince ayrıntısına kadar
ortaya çıkarır.
Dinamik subtraksiyon teknolojisi, damar yapılarını net bir şekilde ortaya
çıkarır.
Görüntü netliği daha da geliştirilerek ayrıntılar canlı bir
şekilde ortaya çıkarılır.
Akıllı zamanlama ve hassasiyet ile anjiyografiyi geliştirir.
Büyük boyutlu hayvanları kolaylıkla barındırarak stabil tarama olanağı sağlar.
Uzun ve yoğun taramalar için yüksek kapasiteli X-ışını tüpü. En ince görüntü detaylarını yakalamak için hassas dedektör.
Dahili CT-AIR ünitesi sayesinde akıllı solunum senkronizasyonu sağlanır, hareket artefaktları etkin şekilde ortadan kaldırılır.
Yüksek doğrulukta tanı için kemik yapısı iyileştirme ve adaptif yumuşak doku optimizasyonu sunar.
Simetrik prostat büyümesi ile birlikte homojen kontrastlanma. Halka şeklinde kontrastlanan çok sayıda kistik yapı. Büyümüş internal ve eksternal iliak lenf düğümleri.
Yüksek çözünürlüklü dental görüntüler sunar; akıllı artefakt düzeltme sayesinde pulpa boşluğu ve periodontal ligament gibi ince yapılar net bir şekilde görüntülenir.
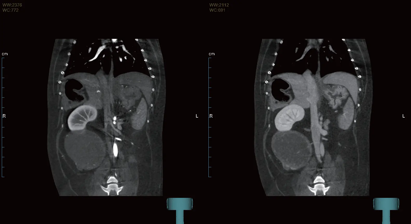
Arteriyel, venöz ve geç fazları tek bir taramada otomatik olarak kaydeder. İş akışını kolaylaştırır ve fazlar arası karşılaştırmaya imkân tanıyarak lezyonların daha net ve verimli şekilde saptanmasını sağlar.